
![]()

40代 女性
奥歯の入歯で我慢していましたが噛めないし、前歯が異常にすり減ってきたので全顎的治療を施しました。
20代の口腔内よりよくなったと喜んで頂いています。

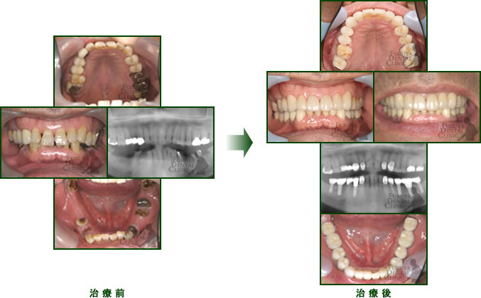
60代 女性
不適合な義歯を長期に使用していたため、かみ合わせが崩壊し、歯周病、虫歯も重度に進行していました。
時間をかけて虫歯、歯周病を手術段階まで治療、かみ合わせの再構築にインプラントを部分に分けて施術しました。
審美的にも20代の自身の口腔内以上に抗年齢を再現できたと思います。

70代 女性
前歯、臼歯部に広範囲に欠損があり全体的咬合崩壊を起こしつつある症例。
歯周治療、補綴治療、インプラント治療で再構築

60代 男性
歯牙欠損、虫歯、歯周病の放置による全体的咬合異常。インプラントやセラミック冠で修復。

70代 男性
歯牙欠損、虫歯、歯周病、不適合義歯、偏摩耗の放置による咬合異常。
インプラントやセラミック冠で修復。

50代 女性
上顎の奥歯に広範囲にインプラントを施術した症例です。

60代 女性
上顎の骨が広範囲に極度に薄く(1〜2mm厚)インプラント手術は困難で左右で6回以上の大幅な手術が必要と言われあきらめて、入れ歯をはめていました。
当院では極力少ない手術範囲で1度に植立と骨造成を施術、2回づつの軽度な手術で安定したしっかりかめるインプラントが入りました。

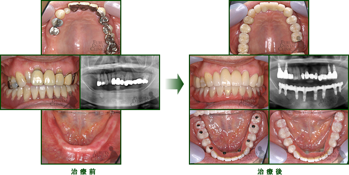
50代 女性
歯がどんどんなくなっても義歯を入れず放置していましたが見栄えも悪く、食事ができないため来院されました。
上下奥歯の歯茎が極度に痩せていて難症例でしたが時間をかけて全体の噛みあわせを再構築しました。

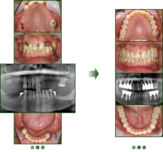
70代 女性
上顎の歯槽骨が極端に小さいので、今まで幾度も他院でインプラント治療を受けるも脱離を繰り返した後、当院を紹介されて来られました。
お仕事の都合もあり普段のQOLを保ちつつの治療を希望されたので時間をかけて順次施術しました、術後は長期に安定したインプラント治療ができました。

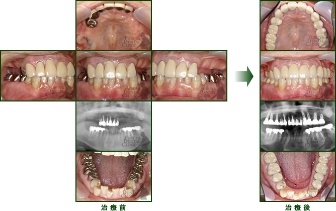
60代 女性
上顎は冠不適合で歯周病もあり、左奥歯は深い虫歯があり抜歯が必要でした。
下顎は総入れ歯でどうしても食事が不安定です。
上顎は歯周病治療後、虫歯、審美の為冠を再製。下顎は1回の手術で仮義歯を顎骨に装着しました。
以降固定性の義歯として取り外すことなく自身の歯のように普通に咀嚼できるようになりました。
当ホームページに掲載されているあらゆる内容の無許可転載・転用を禁止します。
すべての内容は日本の著作権法及び国際条約によって保護を受けています。