
![]()

30代 男性
左右でバランス良く噛めるようになりました。

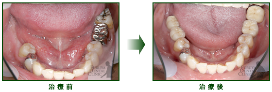
60代 男性
下の奥歯が入歯で安定悪く、咬みにくいそうです。奥歯にインプラントを入れて、全体にしっかり噛めるようになりました。

50代 女性
入れ歯がいやで日頃からはめないでいたので、人前では大きい口を開けれませんでしたが、今は気兼ねなしに笑えます。

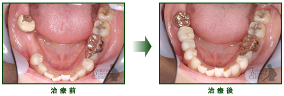
30代 女性
手前のいい歯を削るのに抵抗がありインプラントを希望されました。
自然な感覚に満足頂いています。

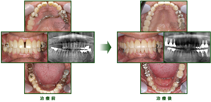
60代 男性
奥歯が入歯ではしっかり噛めないので、インプラントを施術し快適に食事して頂いてます。
前歯のすきっ歯はラミネートベニア法で対応。
当ホームページに掲載されているあらゆる内容の無許可転載・転用を禁止します。
すべての内容は日本の著作権法及び国際条約によって保護を受けています。